Dentistry Before and After Photos

At KayCare Family Dental we are dedicated to creating lasting smiles through comprehensive care using the latest technology. We proudly offer personalized, patient-driven care focused on the health, beauty, and functionality of your teeth. Please browse our smile gallery below and contact us to schedule a smile consultation today.

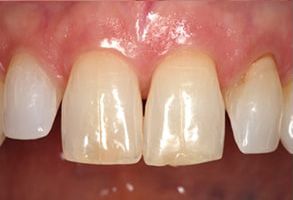
before

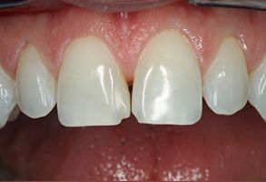
Before

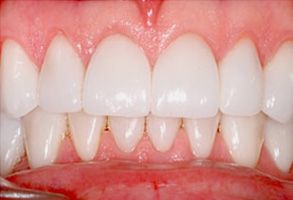
after

After

KayCare Family Dental | Oral Exams, Preventative Program and Dental Bridges

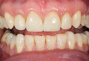
Before

KayCare Family Dental | Dental Cleanings, Pediatric Dentistry and Dental Fillings

After

KayCare Family Dental | Root Canals, Preventative Program and Crowns  amp  Caps

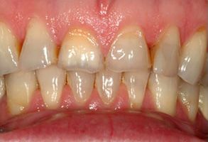
Before

KayCare Family Dental | Dental Fillings, Veneers and Pediatric Dentistry

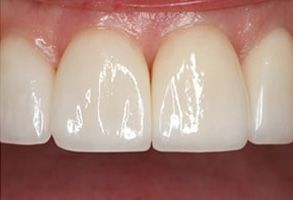
After

KayCare Family Dental | Preventative Program, Veneers and Teeth Whitening

Before

KayCare Family Dental | Sedation Dentistry, Extractions and Dental Fillings

After

KayCare Family Dental | Dental Bridges, Crowns  amp  Caps and Root Canals

Before

KayCare Family Dental | Veneers, Crowns  amp  Caps and Pediatric Dentistry

After

KayCare Family Dental | Pediatric Dentistry, Extractions and Dental Bridges

Before

KayCare Family Dental | Pediatric Dentistry, Dental Fillings and Root Canals

After

KayCare Family Dental | Preventative Program, Dental Fillings and Veneers

Before

KayCare Family Dental | Extractions, Teeth Whitening and Oral Exams

After

Get in touch

We’re always on hand to answer your questions and get back to you with a prompt response.

Submit

Thank You!

We appreciate you taking the time to visit our site. We'll review your message and be in touch with you soon.

Continue

Let us help bring out the best in your smile!

About Us

Our goal is to help every patient experience the benefits of good oral health and a beautiful smile. We value the trust you have placed in our office and strive to provide solutions that meet your dental needs and expectations of care.

Questions?